2 Hampton Place   Brighton   BN1 3DD
    Call us on 01273 779377
 
Treatments
 
Cosmetic Restorative Preventive Facial
 
Cosmetic Dentistry » Teeth Straightening



The Inman Aligner has successfully and safely treated thousands patients across the world who have crowing of their upper or lower front teeth in as little as 6-8 weeks.

It's a safer alternative to crowns and veneers!

It is a removable orthodontic appliance, allowing the wearer to go brace-free for important occasions.

It has huge advantages over "invisible braces" such as Invisalign and Clearstep:

  • It is extremely quick, weeks not months
  • The cost is often half that of Clear braces
  • Achieve great results with just one appliance!


Dentistry

Not long ago, the only ways to. straighten teeth were to use fixed "train track" braces or cut away healthy tooth to make room for veneers or crowns. Cutting away healthy tooth can cause long term nerve problems inside the teeth, so the Inman aligner is a great way or doing great Cosmetic Dentistry without damage to the teeth or gums.


How does it work?

The Inman Aligner uses a coil spring that puts pressure at the back of the teeth that need repositioning and a clear plastic bar that is placed across the front of the teeth reversing the same pressure. These components work together to "squeeze" teeth together by pushing and pulling them into alignment.


But my teeth are crowded, how they can straighten?

We achieve movement using two methods.

For mild crowding, the teeth are very gently narrowed a tiny bit at a time so that they all fit together. This procedure is safe and clinically proven to not cause long term problems with the teeth. This technique has been around for decades and has been safely used on many thousands of people.

For less mild crowding situations, we can place a tiny adjuster in the middle of the appliance which pushes the side teeth out fractionally. This creates a few millimetres spacing at the front so the teeth can jostle into position.


How do I know it will work?

Before we start, we can create 3D computerised models of your teeth as they are now and how they will look after treatment.

From this, a plan is created to show us exactly how much we have to adjust the appliance and the teeth. We go through all this with you first to make sure you are happy with the result we have.


How long does it take?

Making and fitting the aligner takes two short appointments a couple of weeks apart, followed by 15-minute check-ups and adjustments every two or three weeks.

Great results can be achieved in as little as 8 to 16 weeks, depending on how crowded the teeth are.


Does it hurt?

As the aligner starts to put pressure on the teeth, a small number of patients report some mild tooth tenderness and take Ibuprofen for the first week or so. Like anything foreign to your mouth, it may cause you to salivate more than usual for 24 to 48 hours and could affect your speech for 7 to 10 days. The appliance is more bulky than "invisible braces" and does bulk out the upper lip slightly, but should be completely comfortable.


Is the Inman Aligner new?

Patients have been treated with Inman Aligners since 2000. In the United States approximately 450 to 500 new patients are prescribed treatment with Inman Aligners every month.


Is the Inman Aligner comparable to Invisalign?

No, the Inman Aligner is used for treating the top and bottom front teeth only. Invisalign can treat full arches (all your teeth).


Will the Inman Aligner affect my speech?

Yes. The Inman Aligner will affect your speech for a week or two. You will however acclimate to the appliances over time and be able to speak fine with them in place.


Will I need to see the doctor frequently for adjustments?

The Inman Aligners are pre-programmed to reduce the need for office visits. Your doctor will prescribe a treatment due to your needs.


What happens after treatment?

Once you let go of teeth, they will move back. To prevent this you can have either a clear retainer that you wear at night, or a very thin wire bonded to the back of the teeth to stabilise them.

If you want to find out if Inman Aligner can help you, please click on the link for a Free Consultation.

   
Inman Standard   Inman Invisible   Inman Fixed Bow
         
   
Inman Aligner Wraparound   Inman Aligner Habit Appliance   Inman Aligner Retraction Appliance
         
     
Inman Aligner Crossbite Appliance   Inman with Expansion    

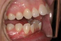
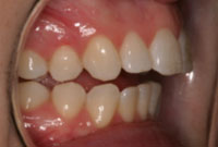
Before After
   
Before After
« Back to Cosmetic Dentistry


 
Terms & conditions apply *
Copyright © Brighton White Dental Studio. All rights reserved.
Last Update: December 2025